W ostatni weekend rozpoczęta została już III edycja MOI Master in Oral Implantology na Uniwersytecie Medycznym we Wrocławiu.
I moduł z III edycji MOI Master in Oral Implantology na Uniwersytecie Medycznym we Wrocławiu rozpoczęty został wykładem pt. „Planowanie kompleksowego leczenia. Kiedy nie warto ratować zęba – czyli ograniczenia współczesnego leczenia endocznego i zachowawczego poprowadzonym przez n. med. Hubert Gołąbka.
Następnie odbyły się zajęcia praktyczne dotyczące stanów nagłych w gabinecie związanych z udrożnieniem dróg oddechowych i wentylacji pacjenta, dostępu naczyniowego i farmakoterapii oraz nagłego zatrzymania krążenia , które zgodził się poprowadzić dr Paweł Gawłowski z Centrum Symulacji Medycznej UMW oraz mgr Aleksander Mickiewicz z Katedry Ratownictwa Medycznego UMW Centrum Symulacji Medycznej z Wrocławia.
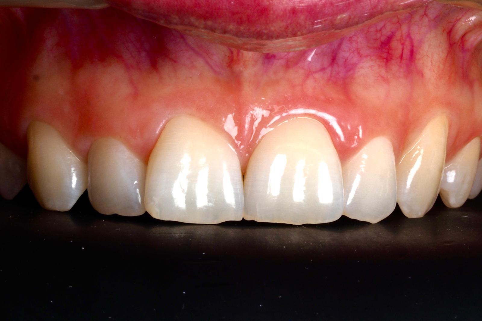
Drugi dzień I modułu MOI rozpoczęty został wykładem prof. dr hab. Marzeny Dominiak o czynnikach warunkujących osteointegrację implantów. Poruszone i omówione podczas wykładu zostały również wskazania i przeciwwskazania do implantacji. Ostatnią częścią tego wykładu było omówienie ze słuchaczami studiów podyplomowych zasad kwalifikacji do leczenia implanto-protetycznego w diagnostyce radiologicznej przy planowaniu leczenia, z uwzględnieniem zmian patologicznych kości szczęk.
W sesji popołudniowej swój wykład wygłosił dr hab. Jakub Hadzik, prof. uczelni na temat czynników ryzyka związanych z implantem w planowaniu leczenia. Kolejnym wykładem dzień zamknęła dr Natalia Piotrowska poruszając w dyskusji ze studentami wszystkie aspekty prawne w implantologii.
Trzeci dzień to warsztaty praktyczne z wykorzystania fotografii i skanowania wewnątrzustnego w stomatologii, które poprowadził dr Piotr Skrzeszewski
Podsumowując III edycja MOI Master in Oral Implantology na Uniwersytecie Medycznym we Wrocławiu to 2 lata nauki, ponad 300 godzin zajęć, ogromna porcja wiedzy dydaktycznej jak i praktycznej przekazywanej podczas 10 modułów dydaktycznych prowadzonych przez 19 doświadczonych polskich oraz zagranicznych wykładowców jak: prof. dr hab. Marzena Dominiak, prof. dr hab. Małgorzata Pietruska, prof. dr hab. Puria Parvini, prof. dr hab. Jan Pietruski, prof. dr hab. Piotr Majewski, dr n. med. Thomas Hanser, dr n. med. Michał Szałwiński, dr n. med. Snjezana Pohl, prof. dr hab. Tomasz Gedrange, dr. hab. Jakub Hadzik, dr Natalia Krej, dr n. med. Hubert Gołąbek i wielu innych.
Bardzo cieszymy się, że ponownie dzięki wyjątkowej współpracy Polskiego Towarzystwa Stomatologicznego i Uniwersytetu Medycznego im. Piastów Śląskich we Wrocławiu, przy wsparciu naszych wyjątkowych Partnerów, udało nam się rozpocząć III edycję Master in Oral Implantology. Kolejny raz postawiliśmy sobie oraz naszym studentom poprzeczkę bardzo wysoko, chcemy aby były to studia praktyczne, ale równocześnie podparte evidence based dentistry. Pragniemy, aby w sposób kompleksowy przekazywały wiedzę i dawały pewność w leczeniu naszym słuchaczom. Jestem pewna, że odpowiedni dobór tematów oraz ekspertów sprawia, że uda nam się kolejny raz zrealizować nasze cele – komentuje inauguracje studiów Prof. dr hab. Marzena Dominiak, kierownik naukowy MOI.










